Versana Active  


Tecnología de ultrasonidos para un tratamiento con confianza

contactanos  

Datos rápidos 


 
 

AVANZADO. COMPETENTE. ADAPTABLE.
Ultrasonidos de primera clase diseñados para su tranquilidad.

El sistema de ultrasonidos Versana Active™ ofrece la capacidad para adquirir imágenes de una consola en un paquete ligero y portátil, lo que le permitirá llevar el sistema de forma activa a sus pacientes en el centro o en las instalaciones remotas. Este sistema fiable aporta la agilidad de una unidad portátil con la capacidad para acoplarla a un carrito. Se adapta a una amplia gama de exámenes diarios y es fácil de llevar a las clínicas y a las consultas médicas.

Versana Active de un vistazo

  • Monitor de hibernación de pantalla
    2 segundos de arranque rápido Desde el modo de espera, habilite los arranques rápidos cuando se requieren escaneos, mejorando el flujo de trabajo
  • Manijas delanteras y traseras
    Permitir una firme facilidad de ajustes finos y transporte
  • Carro simple y ligero (opcional)
    Con el diseño aerodinámico optimizado de Versana, el diseño fluye
  • Monitor retroiluminado LED de alta solución de 15.3 "
  • Peso ligero
    5 kg con batería extraíble incorporada) consola confiable que permite maximizar la portabilidad
  • Puerto de sonda lateral
    Habilite el acceso fácil a la sonda y los cambios de sonda
  • Reducir el desorden
    Facilita el transporte en espacios de trabajo limitados con sistemas de gestión de cables, bandeja de papel integrada, DVD y estante de impresora
  • Ruedas lisas bloqueables
    Permitir reubicaciones suaves y un bloqueo robusto


VERSANA ACTIVE: AYUDA PARA TRATAR A LOS PACIENTES CON AFECCIONES RESPIRATORIAS

El sistema de ultrasonidos Versana Active™ ofrece la capacidad para adquirir imágenes de una consola en un paquete ligero y portátil, lo que le permitirá llevar el sistema de forma activa a sus pacientes en el centro o en las instalaciones remotas. Este sistema fiable aporta la agilidad de una unidad portátil con la capacidad para acoplarla a un carrito. Se adapta a una amplia gama de exámenes diarios y es fácil de llevar a las clínicas y a las consultas médicas.

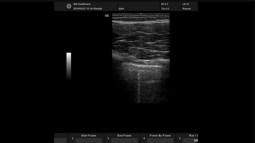
Sondas y aplicaciones que ayudan en las evaluaciones pulmonares y en las enfermedades cardiovasculares de pacientes con sospecha de neumonía o de COVID-19

Versana Active es compatible con una aplicación torácica que incluye un ajuste pleural predefinido para las evaluaciones pulmonares de ultrasonidos.

Fracción de eyección automática

La fracción de eyección automática (AutoEF) es una herramienta de medición semiautomática para la medición de EF (fracción de eyección) global. La herramienta AutoEF se utiliza como una herramienta opcional de ayuda a la toma de decisiones.
La herramienta AutoEF rastrea y calcula la deformación del tejido miocárdico mediante el seguimiento de características en bucles de cine del modo B. Se aplica AutoEF en una o ambas vistas apicales de 4 cámaras o 2 cámaras, por cualquier orden.

Asistente de exploración

Proporciona a los ecografistas protocolos predefinidos de exámenes estandarizados que los guíen a través de todos los pasos de adquisición de imágenes, lo que ahorra la pulsación excesiva de teclas, reduce el estrés y la fatiga, y mantiene la coherencia del examen. El creador de asistente de scan proporciona la flexibilidad necesaria para personalizar o crear nuevos protocolos, como protocolos pulmonares.

Whizz

Solo tiene que pulsar el botón Whizz de su consola una vez. Sin pulsarlo de nuevo, Whizz optimiza la imagen de manera continua y automática, incluso mientras se mueve entre órganos o estructuras.
Whizz, en modo PW/CW (ASO), optimiza los datos espectrales mediante el ajuste de la escala de velocidad/PRF en la adquisición de imágenes en tiempo real, el desplazamiento de la línea de base y la inversión (si está presente). Las funciones de Whizz pueden ser útiles para la exploración cardiovascular.